Back to Category

Image number: 26D

Other non-TB

Category:

Other non-TB

Description:

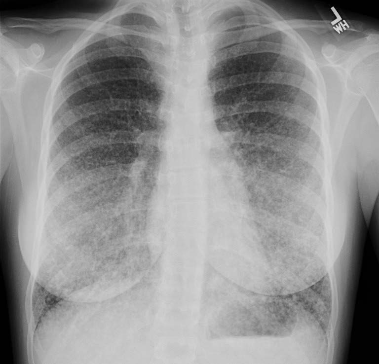
Metastatic thyroid cancer (miliary pattern); Diffuse micronodules

Content Provider:

Ted Lee, MD