Back to Category

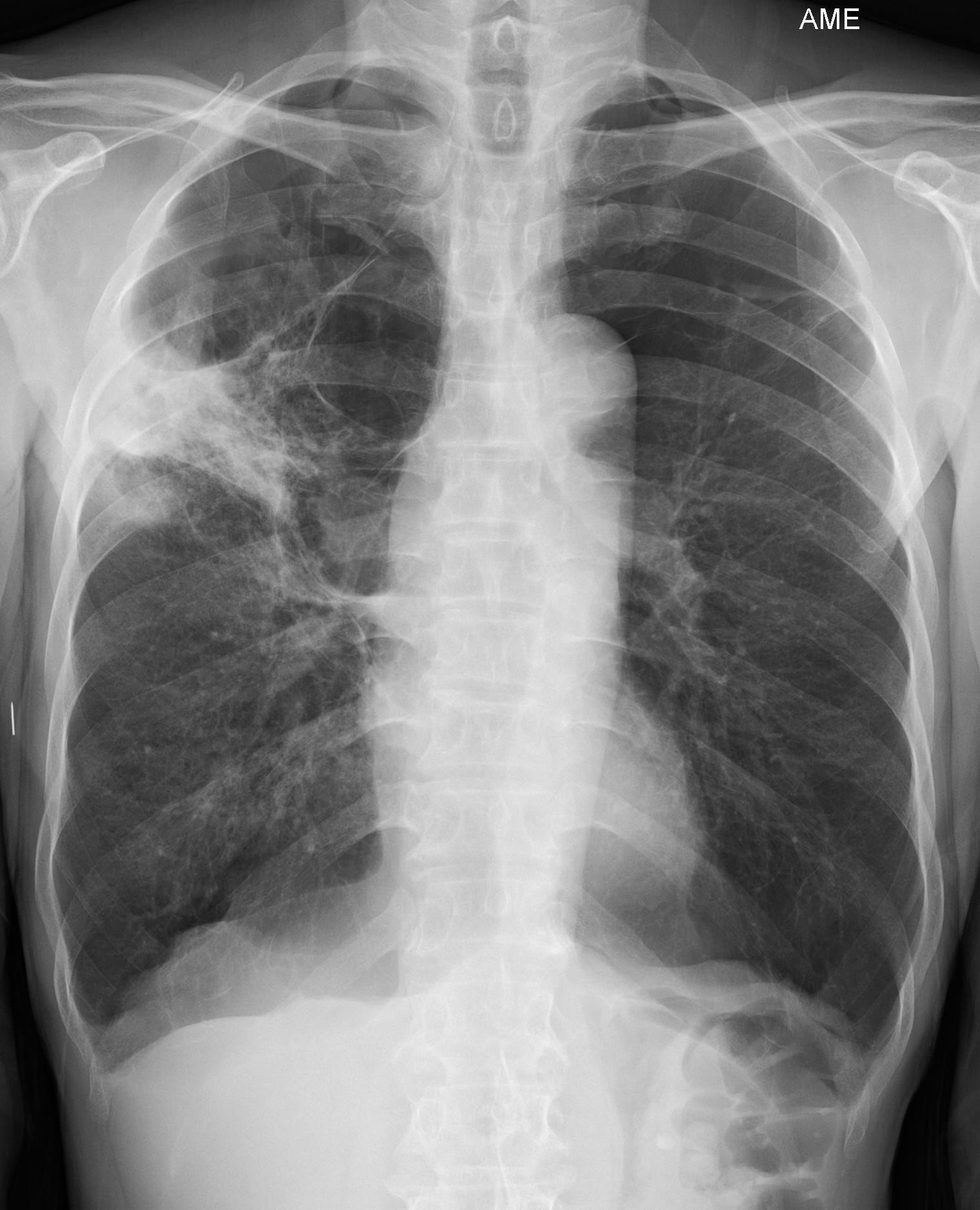
Image number: 37a

Consolidation/Opacities

Image number: 37b

Consolidation/Opacities

Category:

Consolidation/Opacities

Description:

37a - Pretreatment:right upper lung consolidation in a background of bullous emphysema.
37b - Post 9 months of TB treatment.

Content Provider:

Thienkhai Vu, MD