Back to Category

Image number: 38a

Pleural abnormalities

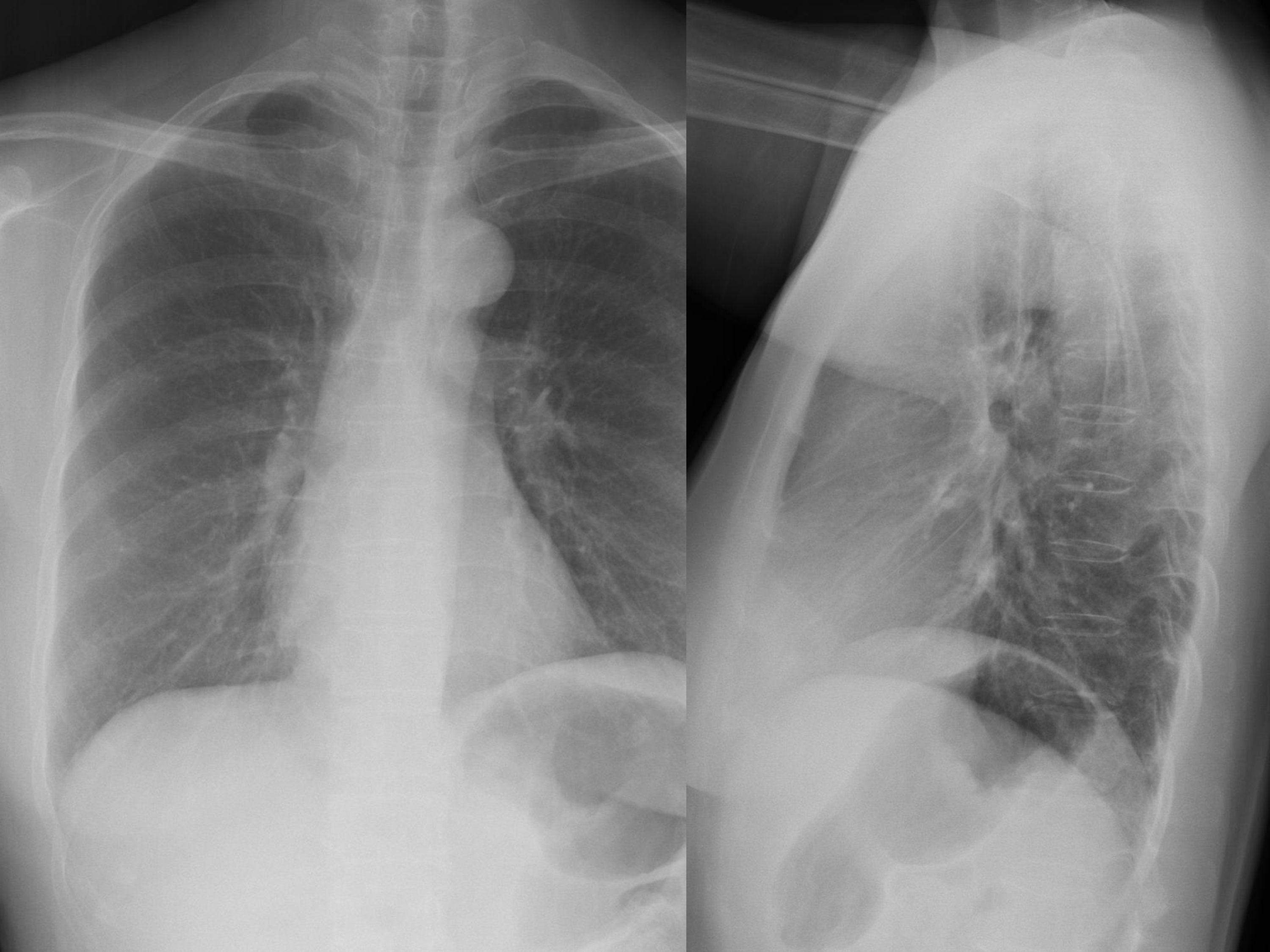
Image number: 38b

Pleural abnormalities

Image number: 38c

Pleural abnormalities

Image number: 38d

Pleural abnormalities

Category:

Pleural abnormalities

Description:

38a - Normal CXR prior to LTBI treatment.

38b - CXR one month after LTBI treatment shows a moderate right pleural effusion.

38c - Axial CT image shows an exudative effusion with pleural thickening. Cx of pleural fluid confirms MTB. Genome sequencing demonstrates MDR organisms.

38d - CXR two months after MDR TB treatment show improvement.

Content Provider:

Thienkhai Vu, MD