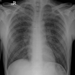
Miliary pattern
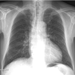
Miliary nodules
Advanced miliary pattern (CXR + CT)
Miliary nodules (CXR + CT)
Miliary nodules
Miliary nodules: Metastatic thyroid cancer
Miliary nodules: Talc granulomatosis
Miliary nodules
Diffuse micronodules (CXR + CT)