Back to Category

Image number: 3

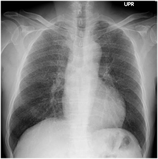
Miliary pattern

Category:

Miliary pattern

Description:

Diffuse micronodules typically 2-3 mm (TB)

Content Provider:

Masa Narita, MD